スキンフィニティクリニック医師の門沙央理です。
当院で人気のピコハイは、様々な機能を搭載しています。
なかでもシミ治療や若返り治療として非常に新しい機能である、532 nm DOEフラクショナルについて詳しく述べていきます。後半では、この532 nm DOEフラクショナルを応用した当院独自のデュアルトーニングについてもご紹介します。
レーザーの照射面には、エネルギーの広がり方に性質の違うレンズが使われています。
その中で DOE(Diffractive Optical Element) は、レーザーの光を細かく分け、肌へむらなく均一に届けるための特殊なレンズ技術 です。

従来のレンズでは、532 nm はメラニン吸収が非常に強いため、均一性の低い光学系では局所的に強く反応してしまうリスクがありました。しかしDOEによりビームが均一化されることで、短波長であっても安定した深さにエネルギーを届けることが可能になります。

532 nmという波長はメラニンに反応しやすく、くすみや色むらが目立つ肌に向いています。
この波長にDOEを組み合わせることで光が均一に広がり、より安定した作用が得られるようになります。
つまり、532 nm の持つ「メラニンに反応しやすい性質」に、DOEの「均一なビームによる安定した作用」が加わることで、肌のくすみや細かい色の不均一にしっかり働きかけられるのが特徴です。
実際の研究でも、532 nm DOEフラクショナル照射後には肌の色むらが中等度まで改善したと評価されており、この組み合わせが色調改善に適していることが示されています。
532 nm DOEフラクショナルの興味深い点は、色調改善だけではありません。
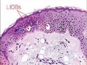
この照射では、表皮を傷つけることなく、真皮内にLIOB(レーザー誘導光破砕)が形成されていたことが組織学的に確認されている研究があります。
.jpg)
・通常の532 nm では、表皮や基底膜に負担がかかりやすいですが、DOEにより表皮・基底膜は温存されたまま
・真皮内(約0.6〜1.2 mm)に微小なLIOBが形成
・7〜28日で新しいコラーゲン・エラスチンが増生
つまり532 nm でありながら、色素への反応に加えて、真皮のコラーゲン再構築にも働きかけられるという新しい特徴が示されています。
高性能なピコハイを用いた肝斑やくすみに対しての1064 nm トーニング治療であるピコハイトーニングは変わらず人気な施術です。肝斑のコントロールにも適した波長で、深い層に残るくすみや色素に穏やかに作用し、徐々に排出を促す特徴があります。
しかしピコハイトーニングで肌全体が明るくなっても、ごく浅い細かな色ムラや薄い斑点だけが残るケースがあります。
こうした浅い層に散らばる微細なメラニンは、1064 nm の波長だけでは反応が弱く、改善しにくいことがあります。
532 nm DOEフラクショナルはこの浅い層のメラニンに反応しやすく、トーニングでは取りきれない部分を補うように働くのが特徴です。
そのため、532 nm DOEフラクショナルと1064 nm ピコハイトーニングを組み合わせた当院オリジナルの『ピコハイ・デュアルトーニング』は、浅い層と深い層にそれぞれ働きかけることで、肌全体の色調がより整っていきます。
実際に当院で行っているピコハイ・デュアルトーニングの症例をご紹介します。


左:before 右:デュアルトーニング後
今回の症例のように、肝斑を背景に浅い層の細かなメラニンが広範囲に散在しているタイプでは、肝斑治療のみでは改善に限界が生じることがあります。
532 nm DOEフラクショナルで浅層の色ムラを丁寧に整えながら、1064 nmピコハイトーニングで肝斑をコントロールすることで、単独治療ではアプローチしにくい部分まで改善しやすいのがこの組み合わせの利点です。
色ムラや肝斑が思うように整わない場合には、仕上げとしてピコハイ・デュアルトーニングをご検討いただく価値があります。
参考文献
1) Han HS, et al. A randomized, prospective, split-face pilot study to evaluate the safety and efficacy of 532-nm and 1,064-nm picosecond-domain Nd:YAG lasers using a diffractive optical element for non-ablative skin rejuvenation: clinical and histological evaluation. Ann Dermatol. 2023;35(1):23-31.